|
Cabinet Dentaire du Dr CATTAN
90, Avenue du Maine 75014 PARIS
: 01 43 20 27 24 - 06 15 10 06 68
Plan d'accès

|
ESTHÉTIQUE
2 - Les facettes tout céramique
Les facettes sont de minces coquilles qui couvrent le devant des dents. Elles restaurent celles-ci en corrigeant la forme, la taille, la teinte, la position afin d’améliorer l’apparence du sourire.
Les problèmes que les facettes peuvent arranger :
- Les dents avec des résines disgracieuses
- Les dents colorées qu’un blanchiment dentaire ne peut pas améliorer
- Les dents fêlées, usées ou fracturées
- Les dents mal alignées
- Les diastèmes (espaces entre les dents)
Les avantages des facettes en porcelaine :
- Elles offrent une apparence très naturelle, similaire à une vraie dent
- Les facettes résistent aux taches dues à l’âge, au tabac, au café, au thé. Ainsi la teinte sera toujours identique au cours de la vie
- On peut sélectionner une couleur de porcelaine pour que les dents paraissent plus blanches
- Le risque de carie est fortement diminué (ceci grâce à l’ajustage ultra précis des facettes). Par ailleurs il est nécessaire d’avoir un brossage rigoureux comme pour les dents naturelles.
|
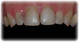
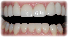
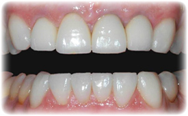
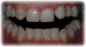
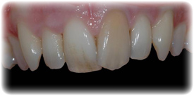
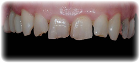
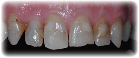
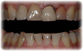
Photos facettes : avant / après
> Voir d'autres exemples de facette <
|