FAIL (the browser should render some flash content, not this).

Cabinet Dentaire du Dr CATTAN
90, Avenue du Maine 75014 PARIS
: 01 43 20 27 24 - 06 15 10 06 68

Plan d'accès


ESTHÉTIQUE

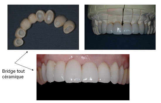
4 - Le bridge

Il s’agit de l’alternative aux implants lorsqu’une dent est absente. Le bridge repose sur les dents adjacentes à l’edentement afin de remplacer la dent manquante. Le bridge est scellé donc il ne bouge pas.

Le bridge peut être en céramique pur. Pour cela la confection de la chape céramique est assistée par ordinateur. La chape en oxyde d’alumine est fabriquée à partir de données informatiques fournies par scannerisation. Résultats : Grande précision d’ajustage aux qualités requises de solidité et d’esthétique.

Photos de BRIDGE

Tous droits réservés © 2009 - All rights reserved